Hours & Contact
  • Mon: 9:00am - 5:00pm
  • Tues, Wed & Fri: 8:00am - 4:00pm
  • Thurs: Closed
  • Have a question? Give us a call!
    (518) 868-6900
  • facebook
  • instagram
  • tiktok
  • youtube
  • google
Salvatore Dental
Main Menu
Menu
  • Smile Gallery
  • Services
    • Wellness
      • Dental Cleanings
      • Dental Hygiene
      • Dental Sealants
      • Dental X-Rays
      • General & Systemic Health
      • Preventive Dentistry
      • Tooth Decay
    • Restorative
      • All-on-4
      • Bonded White Fillings
      • Dental Bridges
      • Dental Crowns
      • 3D Dentistry
      • Dental Implants
        • The Difference of Dental Implants
      • Dentures
      • Inlays & Onlays
      • Same-Day Crowns
      • Mini Implants vs Full Implants
    • Cosmetic
      • Smile Makeover
      • Teeth Whitening
      • Veneers
    • Pediatric
    • Oral Surgery
      • Laser Dentistry
      • Sedation
      • Tooth Extractions
    • Family Dentistry
  • About Us
    • Meet the Team
      • Dentists
      • Hygienists
      • Support Staff
    • Testimonials
    • Office Tour
    • Blog
    • Community Involvement
  • Technology
  • Patient Info
    • Insurance & Financing
    • Special Offers
Request an Appointment

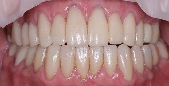
Caleb's Case

Caleb's Case

Before

smile gallery image

After

smile gallery image

This incredible patient came to us with a desire to change his smile — his teeth and gums. We have done implants, veneers and gum contouring to achieve his incredible smile.

Salvatore Dental

Visit our office to get the latest in top-quality dental care along with unparalleled service.

Links
  • Testimonials
  • Contact Us
  • Privacy
  • Accessibility
  • Login / Account
Get In Touch
  • 127 Dunning St
    Ballston Spa, NY 12020
  • (518) 868-6900
  • [email protected]
How Are We Doing?
  • facebook
  • instagram
  • tiktok
  • youtube
  • google

©2026 Salvatore Dental. Resource Articles ©2026 Blumberg Digital. All Rights Reserved. Dental websites by Blumberg Digital & Genius Platforms.