Hours & Contact
  • Mon: 9:00am - 5:00pm
  • Tues, Wed & Fri: 8:00am - 4:00pm
  • Thurs: Closed
  • Have a question? Give us a call!
    (518) 868-6900
  • facebook
  • instagram
  • tiktok
  • youtube
  • google
Salvatore Dental
Main Menu
Menu
  • Smile Gallery
  • Services
    • Wellness
      • Dental Cleanings
      • Dental Hygiene
      • Dental Sealants
      • Dental X-Rays
      • General & Systemic Health
      • Preventive Dentistry
      • Tooth Decay
    • Restorative
      • All-on-4
      • Bonded White Fillings
      • Dental Bridges
      • Dental Crowns
      • 3D Dentistry
      • Dental Implants
        • The Difference of Dental Implants
      • Dentures
      • Inlays & Onlays
      • Same-Day Crowns
      • Mini Implants vs Full Implants
    • Cosmetic
      • Smile Makeover
      • Teeth Whitening
      • Veneers
    • Pediatric
    • Oral Surgery
      • Laser Dentistry
      • Sedation
      • Tooth Extractions
    • Family Dentistry
  • About Us
    • Meet the Team
      • Dentists
      • Hygienists
      • Support Staff
    • Testimonials
    • Office Tour
    • Blog
    • Community Involvement
  • Technology
  • Patient Info
    • Insurance & Financing
    • Special Offers
Request an Appointment

Halle's Case

Halle's Case

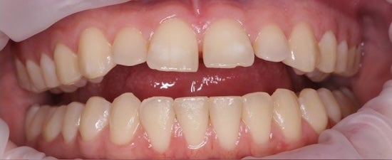
Before

smile gallery image

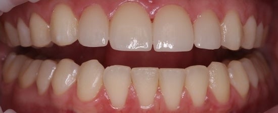
After

smile gallery image

Before

smile gallery image

After

smile gallery image

This patient was getting ready for her wedding day and her desire was to improve her smile and boost her confidence. We have done veneers to achieve her incredible smile.

Salvatore Dental

Visit our office to get the latest in top-quality dental care along with unparalleled service.

Links
  • Testimonials
  • Contact Us
  • Privacy
  • Accessibility
  • Login / Account
Get In Touch
  • 127 Dunning St
    Ballston Spa, NY 12020
  • (518) 868-6900
  • [email protected]
How Are We Doing?
  • facebook
  • instagram
  • tiktok
  • youtube
  • google

©2026 Salvatore Dental. Resource Articles ©2026 Blumberg Digital. All Rights Reserved. Dental websites by Blumberg Digital & Genius Platforms.